Overview
Research Areas (IRP Lab Groups)
The Clinical and Investigative Orthopedics Surgery Unit conducts clinical research in the field of Orthopedic Surgery with an emphasis on studying questions that are important to today’s practicing clinicians, such as the choice of nails over plates for certain fractures, or the effect of surgical volume on patient outcomes.
The overarching goal of the unit is to conduct research that improves patient care by identifying the treatments that lead to better outcomes or elucidates the pathophysiological mechanisms of disease.
The program functions on two tracks. The first takes advantage of large clinical databases to perform epidemiological studies and health services research regarding musculoskeletal conditions. The second track engages the resources of the Clinical Center to perform prospective human clinical studies.

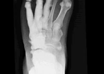
Dr. Bhattacharyya is coordinating a multidisciplinary group investigating the rare bone disease melorheostosis. Research spans the spectrum from seeing patients to genetics to developing cellular models. Two somatic mutations have been identified that cause melorheostosis.
Scientific Advances
Core Research Facilities
Labs at the NIAMS are supported by the following state-of-the-art facilities and services:
Staff
Clinical Trials
The rare disease melorheostosis causes bones to thicken. This may lead to pain, and can affect bones, joints, and muscles. Researchers want to learn more about the disease and how it progresses.
