Spotlight on Research

2023 NIAMS Interns Return to In-person Research in Labs

Spotlight on Research |

2022 NIAMS Interns Thrived in Hybrid Training Program

Spotlight on Research |

2021 NIAMS Trainees Participate in Unique Virtual Program

Spotlight on Research |

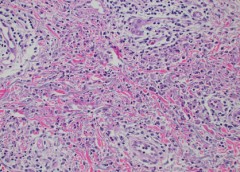
Researchers Uncover Clues to Why Some Wounds Don’t Heal

Spotlight on Research |